Javascript must be enabled for the correct page display
(954) 833-4998
Mon:
9:00am – 5:00pm
, Tue & Wed:
8:00am – 5:00pm
Thu:
7:30am – 4:30pm
, Fri:
8:00am – 2:00pm
Phone
Hours
Follow us
Contact Us
(954) 833-4998
Working Hours
Monday
9:00 am – 5:00 pm
Tuesday & Wednesday
8:00 am – 5:00 pm
Thursday
7:30 am – 4:30 pm
Friday
8:00 am – 2:00 pm
Follow Us
Facebook
Instagram
YouTube
Yelp
LinkedIn
Google
Search
Main Menu
Smile Gallery
Services
Toggle Dropdown
Emergency Dentist
General Dentistry
Toggle Dropdown
Adult's Dentistry
Holistic Dental Cleaning
Teen's Dentistry
Cosmetic
Toggle Dropdown
Botox
Composite Veneers
Digital Smile Design
Gum Lift
Gummy Smile
Invisalign®
KöR® Whitening
Orthodontic Screenings
Orthodontics
Porcelain Veneers
Retainers
Six Month Smiles®
Teeth Whitening
Test Drive Your Smile
Restorative
Toggle Dropdown
All-on-4
Composite Fillings
Dental Implants
Dental Onlays
Full or Partial Dentures
Implant Dentures
Porcelain Bridge
Porcelain Crowns
Snap-On Dentures
Wellness & Preventive
Toggle Dropdown
Airflow Technology
Bad Breath
Biological Dentistry
Dental Sealants
Home Care
Laser Bacterial Reduction
Laser Therapy
Oral Cancer Screening
Ozone Dentistry
Perio Protect
Periodontal Therapy
Preventive Dentistry
Saliva Testing
Scaling and Root Planing
Smart Safe Mercury Removal
Sleep Dentistry
Toggle Dropdown
Airflow Expansion
Night Guard
NightLase
Oral Appliances
Sleep Apnea
Sleep Study Test
Teeth Grinding
Vivos
Oral Surgery
Toggle Dropdown
Biological Extractions
Bone Grafting
Oral Sedation
PRF Extractions
Root Canal Treatment
Sedation Dentistry
Advanced Technology
Toggle Dropdown
Fotona Laser Technology
Hard Tissue Laser
Intra-oral Camera
Vatech 21 Green Technology
iTero® Technoloy
Facial Esthetics
Toggle Dropdown
Biocare
Micro Needling PRF
PRF Fillers
PRF Treatment
PRF for Hair Regrowth
About Us
Toggle Dropdown
Meet the Team
Toggle Dropdown
Dentists
Support Staff
Hygienists
Office Tour
Testimonials
Community Involvement
Blog
Patient Info
Toggle Dropdown
Insurance & Financing
Smile Dental Membership Plan
Special Offers
New Patients
Store Front
Treatment Pricing FAQ
Search
Book Appointment
Book Appointment
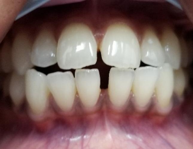
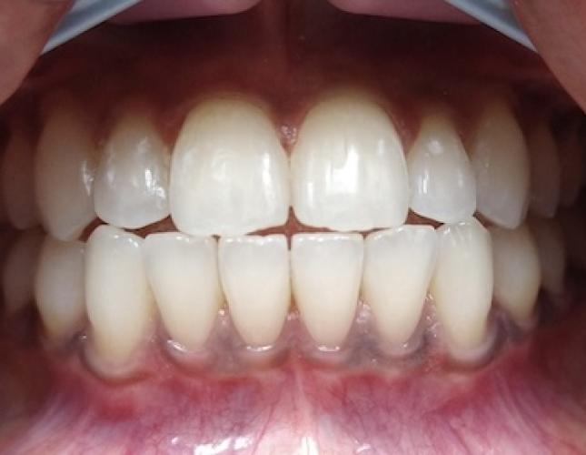
Invisalign 2
Anonymous
Invisalign®