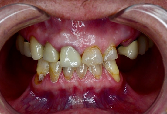
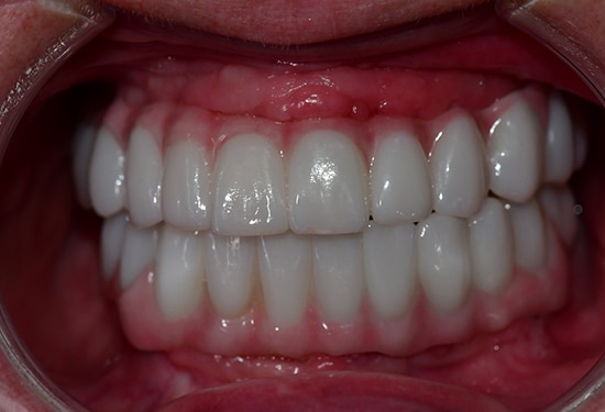
All-on-X
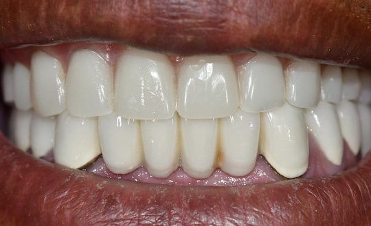
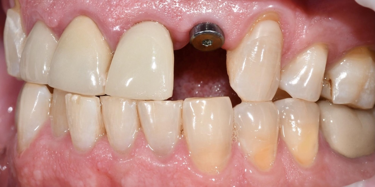
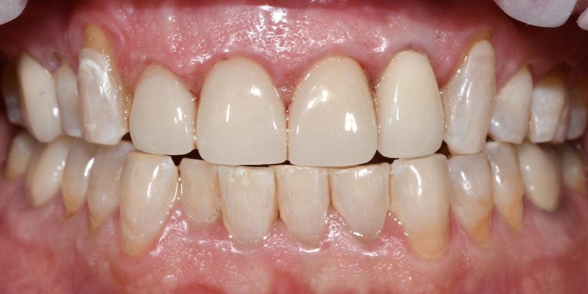
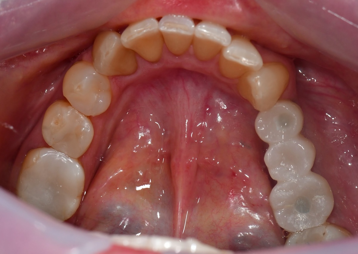
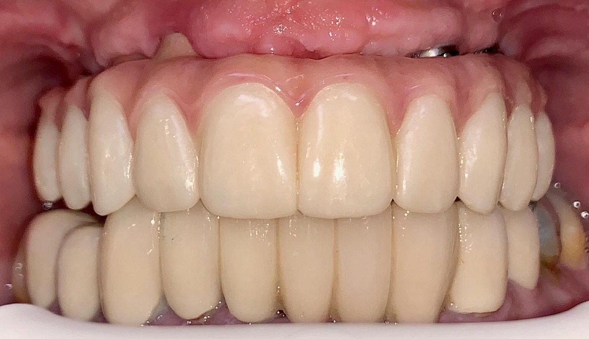
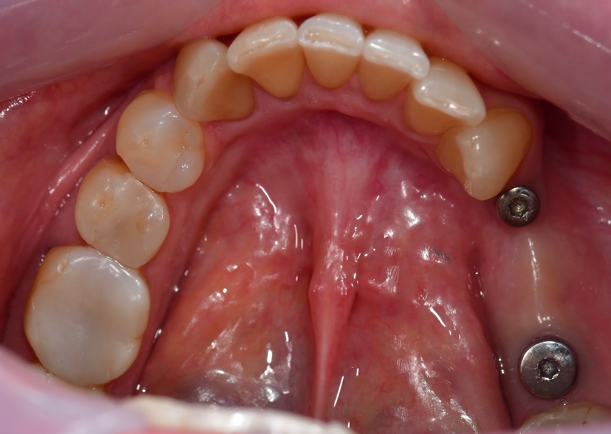
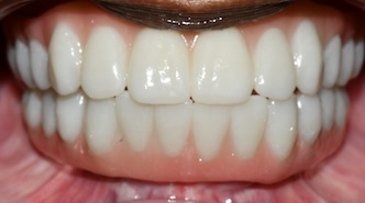
Patient presented to the office for a cosmetic consultation. Her current dentist didn’t do implants. Due to multiple dental issues, she was having difficulty chewing her food and wanted to get rid of her partial dentures. We performed implants in a day and gave her teeth that were fixed. The procedure is called All-on-X. She’s so happy to be able to eat again!