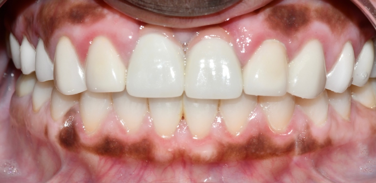
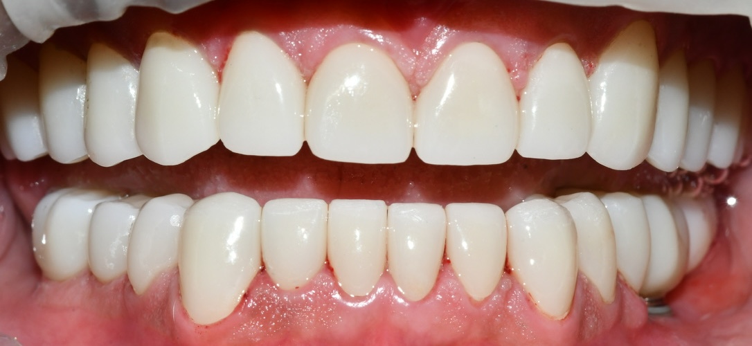
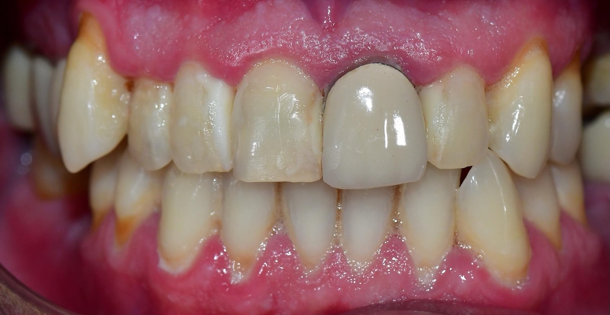
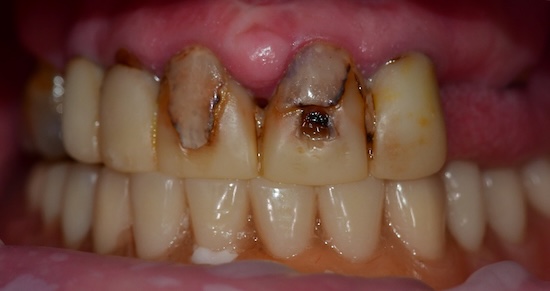
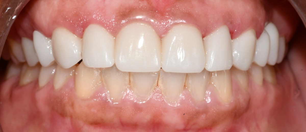
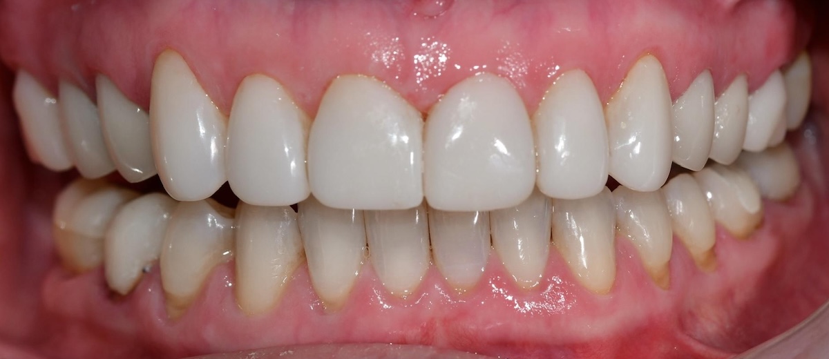
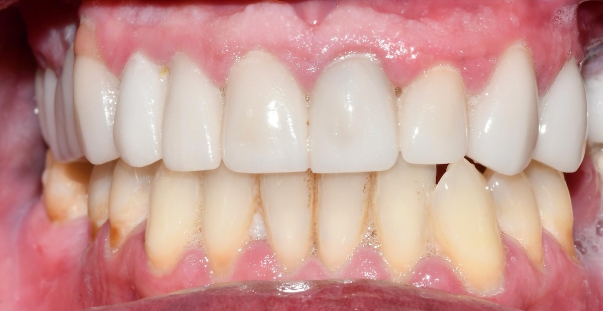
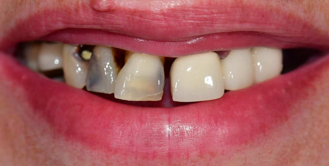
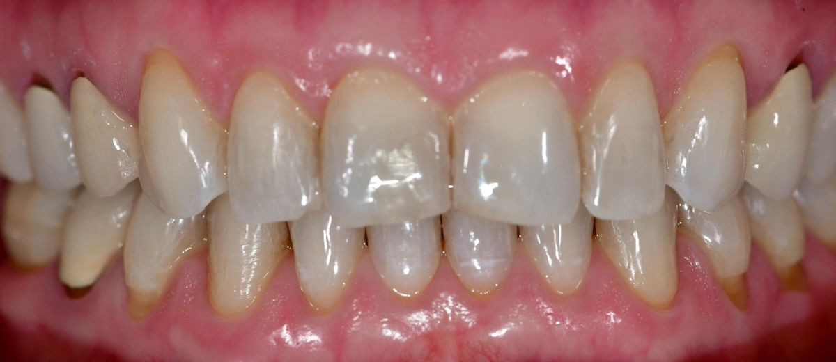
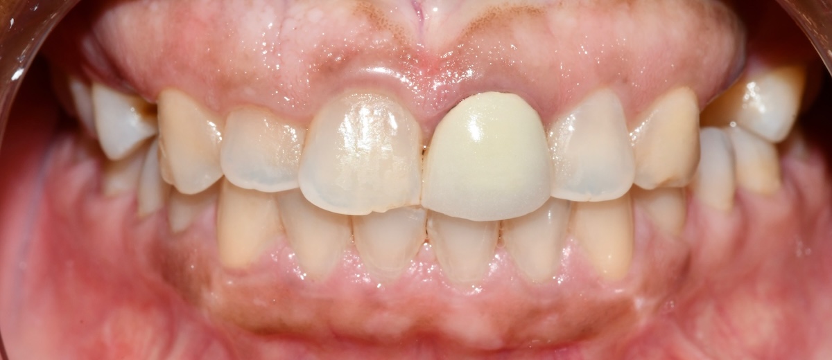
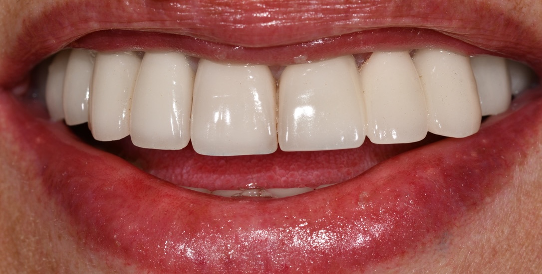
Full Mouth Restoration 2
This patient had always wanted a beautiful smile but felt nervous and self-conscious about visiting the dentist. After finding our office, she gained the confidence to move forward with a full-mouth restoration, receiving crowns from molar to molar. Today, she loves her new smile and now visits regularly with confidence and ease.