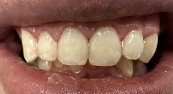
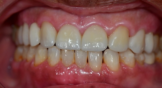
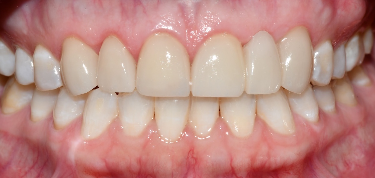
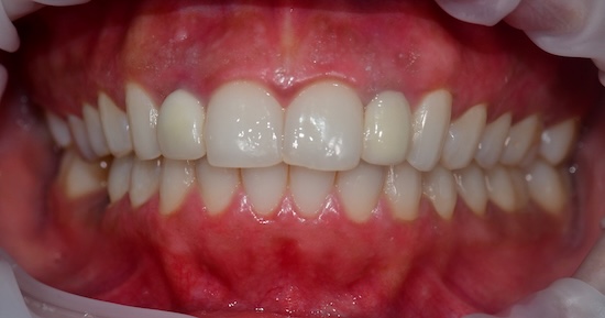
Invisalign & Bridges
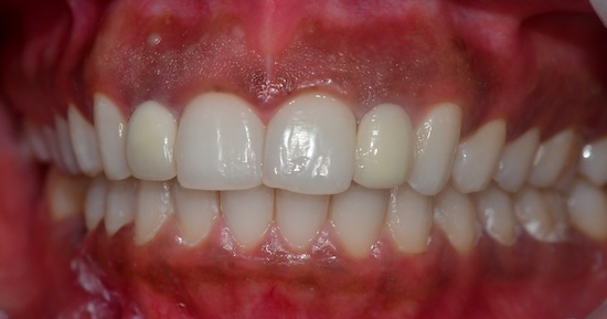
Patient was referred to our office from an existing patient wanting to improve her smile. She had braces 1 year prior and I immediately realized she needed to have the teeth in a better position and they needed to look better with ceramics. We did Invisalign and two bridges to help improve her smile. This gave her the confidence in her personal life!